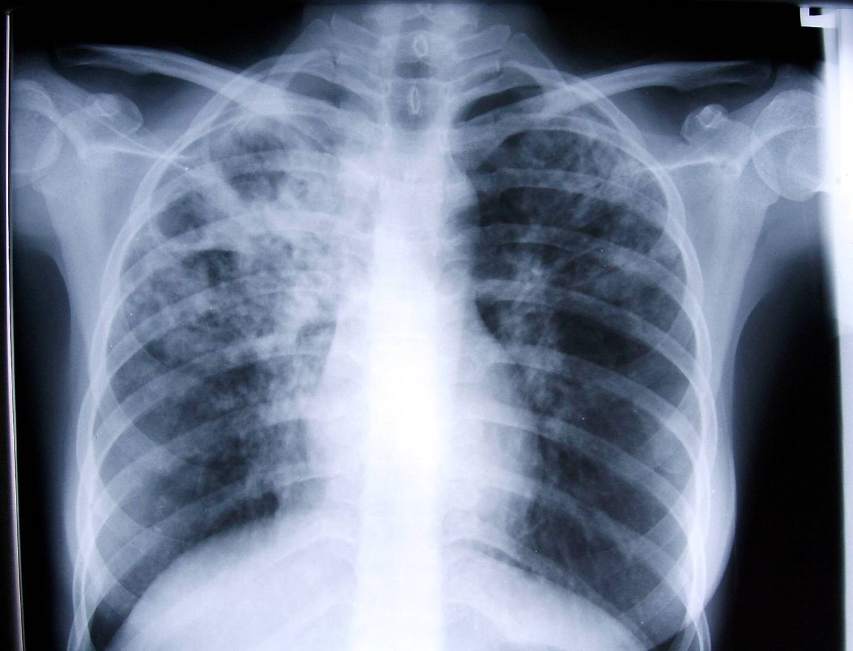
Tuberculosis has come under the spotlight in Malaysia recently, with reports of 10 active TB clusters in the country. In the first six weeks of 2026 alone, 3,161 cases were recorded across all states – a 10% increase from last year.

As health experts advise caution in crowded, poorly ventilated spaces in this period of increased social interaction during Chinese New Year and Ramadan, public concern has intensified. Some Singaporeans are even questioning if it’s safe to visit Malaysia.

The anxiety is visible in online comments: β€œIs this Covid 2.0?” β€œAnother MCO coming?” β€œWill we all have to get vaccinated?” And there’s the inevitable misinformation: TB cases were falsely linked on social media to Covid-19 vaccinations.

Some experts believe there may not be a β€œsurge” as headlines suggest.

πŸ“°

Continue Reading on The Star Malaysia

This preview shows approximately 15% of the article. Read the full story on the publisher's website to support quality journalism.

Read Full Article β†’